CD30 Recombinant Antibody
CAT:
800-V3703-20UG
Size:
20 µg
Price:
Ask
- Availability: 24/48H Stock Items & 2 to 6 Weeks non Stock Items.
- Dry Ice Shipment: No








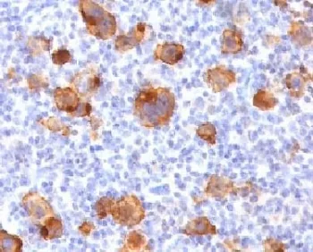
CD30 Recombinant Antibody
Description:
Recognizes a single chain glycoprotein of 105/120kDa, identified as CD30/Ki-1. CD30 is synthesized as a 90kDa precursor, which is processed in the Golgi complex into a membrane-bound phosphorylated mature 105/120kDa glycoprotein. In Hodgkin s disease, CD30/Ki-1 antigen is expressed by mononuclear-Hodgkin and multinucleated Reed-Sternberg cells. It is also expressed by the tumor cells of a majority of anaplastic large cell lymphomas as well as by a varying proportion of activated T and B cells. This mAb distinguishes large cell lymphomas derived from activated lymphoid cells from histiocytic malignancies and lymphomas derived from resting and precursor lymphoid cells or from anaplastic carcinomas. About one third of the CD30/Ki-1 positive lymphomas lack the leukocyte common antigen (CD45).UniProt:
P28908Host:
MouseImmunogen:
Recombinant full length human protein was used as the immunogen for the recombinant CD30 antibody.Clonality:
MonoclonalIsotype:
IgG1 κType:
RecombinantApplications:
IHC-PFormat:
PurifiedBuffer:
0.2 mg/ml in 1X PBS with 0.1 mg/ml BSA (US sourced) and 0.05% sodium azideReconstitution:
Store the recombinant CD30 antibody at 2-8oC (with azide) or aliquot and store at -20oC or colder (without azide).Limitations:
This recombinant CD30 antibody is available for research use only.CAS Number:
9000-83-3