TRAcP Antibody / TRAP / ACP5
CAT:
800-V2794-100UG
Size:
100 µg
Price:
Ask
- Availability: 24/48H Stock Items & 2 to 6 Weeks non Stock Items.
- Dry Ice Shipment: No








TRAcP Antibody / TRAP / ACP5
Description:
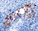
It recognizes a protein of 35kDa, which is identified as tartrate-resistant acid phosphatase (TRAcP). It exists as two isoforms (5a and 5b). This mAb reacts with both the isoforms. Serum TRAcP 5a is secreted by macrophages and dendritic cells and increased in many patients of rheumatoid arthritis. Serum TRAcP 5b is produced from osteoclasts and elevated during bone resorption. TRAcP is an iron containing glycoprotein, which catalyzes the conversion of orthophosphoric monoester to alcohol and orthophosphate. It is the most basic of the acid phosphatases and is the only form not inhibited by L(+)-tartrate. TRAcP is synthesized as a latent proenzyme and is activated by proteolytic cleavage and reduction. Normally, TRAcP is highly expressed by osteoclasts, activated macrophages, neurons and endometrium during pregnancy. Expression of TRAcP is increased in certain pathological conditions such as Leukemic Reticuloendotheliosis (Hairy Cell Leukemia), Gaucher's Disease, HIV-induced Encephalopathy, Osteoclastoma and in osteoporosis and metabolic bone diseases. Anti-TRAcP antibody labels the cells of Hairy Cell Leukemia (HCL) with a high degree of sensitivity and specificity. Other cells stained with this antibody are tissue macrophages and osteoclasts.UniProt:
P13686Host:
MouseImmunogen:
Recombinant full-length human protein was used as the immunogen for the TRAcP antibody.Clonality:
MonoclonalIsotype:
IgG2b κApplications:
IHC-PFormat:
PurifiedBuffer:
0.2 mg/ml in 1X PBS with 0.1 mg/ml BSA (US sourced) and 0.05% sodium azideReconstitution:
Store the TRAcP antibody at 2-8oC (with azide) or aliquot and store at -20oC or colder (without azide).Limitations:
This TRAcP antibody is available for research use only.CAS Number:
9007-83-4