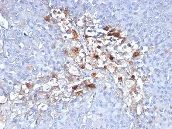
CD146 Antibody / MCAM / MUC18
CAT:
800-V2698-100UG
Size:
100 µg
Price:
Ask
- Availability: 24/48H Stock Items & 2 to 6 Weeks non Stock Items.
- Dry Ice Shipment: No








CD146 Antibody / MCAM / MUC18
Description:
The human CD146 gene maps to chromosome 11q23 and encodes a trans-membrane glycoprotein, also designated MCAM, MUC 18, that belongs to the immunoglobulin superfamily and functions as a Ca2+-independent cell adhesion molecule. CD146 expression is restricted to advanced primary and metastatic melanomas and to cell lines of the neuroectodermal lineage, but not normal melanocytes. It is found on 80% of advanced primary human melanomas and correlates well with development of metastatic disease.UniProt:
P43121Host:
MouseImmunogen:
Recombinant human protein was used as the immunogen for the CD146 antibody.Clonality:
MonoclonalIsotype:
IgG1 κApplications:
FACS, IF, IHC-PFormat:
PurifiedBuffer:
0.2 mg/ml in 1X PBS with 0.1 mg/ml BSA (US sourced) and 0.05% sodium azideReconstitution:
Store the CD146 antibody at 2-8oC (with azide) or aliquot and store at -20oC or colder (without azide).Limitations:
This CD146 antibody is available for research use only.CAS Number:
9007-83-4