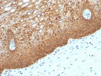
Cytokeratin 14 Antibody / CK14 / KRT14
CAT:
800-V2668SAF-100UG
Size:
100 µg
Price:
Ask
- Availability: 24/48H Stock Items & 2 to 6 Weeks non Stock Items.
- Dry Ice Shipment: No








Cytokeratin 14 Antibody / CK14 / KRT14
Description:
Cytokeratin 14 (CK14) belongs to the type I (or A or acidic) subfamily of low molecular weight keratins and exists in combination with keratin 5 (type II or B or basic). CK14 is found in basal cells of squamous epithelia, some glandular epithelia, myoepithelium, and mesothelial cells. Anti-CK14 is useful in differentiating squamous cell carcinomas from poorly differentiated epithelial tumors. Anti-CK14 is one of the specific basal markers for distinguishing between basal and non-basal subtypes of breast carcinomas. Anti-CK14 is also a good marker for differentiation of intraductal from invasive salivary duct carcinoma by the positive staining of basal cells surrounding the in-situ neoplasm as well as for differentiation of benign prostate from prostate carcinoma. Furthermore, this antibody has been useful in separating oncocytic tumors of the kidney from its renal mimics, and in identifying metaplastic carcinomas of the breast.UniProt:
P02533Host:
MouseImmunogen:
Recombinant full-length human KRT14 protein was used as the immunogen for the Keratin 14 antibody.Clonality:
MonoclonalIsotype:
IgG3 κApplications:
IHC-PFormat:
PurifiedBuffer:
1 mg/ml in 1X PBS; BSA free, sodium azide freeReconstitution:
Store the Keratin 14 antibody at 2-8oC (with azide) or aliquot and store at -20oC or colder (without azide).Limitations:
This Keratin 14 antibody is available for research use only.CAS Number:
9007-83-4