Placental Alkaline Phosphatase Antibody / ALPP
CAT:
800-V2518-20UG
Size:
20 µg
Price:
Ask
- Availability: 24/48H Stock Items & 2 to 6 Weeks non Stock Items.
- Dry Ice Shipment: No








Placental Alkaline Phosphatase Antibody / ALPP
Description:
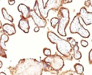
Reacts with a 70kDa membrane-bound isozyme (Regan and Nagao type) of placental Alkaline Phosphatase (PLAP) occurring in the placenta during the 3rd trimester of gestation. It is highly specific for PLAP and shows no cross-reaction with other isozymes of alkaline phosphatase. Anti-PLAP reacts with germ cell tumors and can discriminate between these and other neoplasms. Somatic neoplasms e.g. breast, gastrointestinal, prostatic, and urinary cancers may also immunoreact with antibodies to PLAP. Anti-PLAP positivity in conjunction with anti-keratin negativity favors seminoma over carcinoma. Germ cell tumors are usually anti-keratin positive, but they regularly fail to stain with anti-EMA, whereas most carcinomas stain with anti-EMA. Anti-PLAP has been useful in the diagnosis of gestational trophoblastic disease.UniProt:
P05187Host:
MouseImmunogen:
Recombinant human PLAP protein was used as the immunogen for the Placental Alkaline Phosphatase antibody.Clonality:
MonoclonalIsotype:
IgG2b κApplications:
IHC-PFormat:
PurifiedBuffer:
0.2 mg/ml in 1X PBS with 0.1 mg/ml BSA (US sourced) and 0.05% sodium azideReconstitution:
Store the Placental Alkaline Phosphatase antibody at 2-8oC (with azide) or aliquot and store at -20oC or colder (without azide).Limitations:
This Placental Alkaline Phosphatase antibody is available for research use only.CAS Number:
9007-83-4
DATASHEET Document
View Document