Myeloid Cell Marker Antibody
CAT:
800-V2356-100UG
Size:
100 µg
Price:
Ask
- Availability: 24/48H Stock Items & 2 to 6 Weeks non Stock Items.
- Dry Ice Shipment: No








Myeloid Cell Marker Antibody
Description:
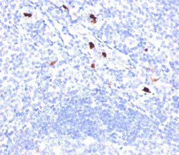
This antibody recognizes a 183kDa protein with DNA-binding characteristics, which is identified as a myeloid cell specific antigen. Clone BM-1 antibody reacts with myeloid precursor cells and granulocytes in bone marrow. Its antigen appears to be restricted to M2 and M3 acute myelogenous leukemia (AML) subtypes. This type of marker is useful in the identification of different levels of cellular differentiation. BM-1 and BM-2 antibodies react with early precursor and mature forms of human myeloid cells. This mAb is useful in the identification of myelogenous leukemias, distinguishing granulocytic sarcomas from lymphoid malignancies and also in the study of differentiation and transformation of human myeloid cells. The biological function of the marker protein is not clear, although it has been proposed that it may play a role in cell differentiation.Host:
MouseImmunogen:
Human peripheral blood mononuclear cells were used as the immunogen for this Myeloid cell marker antibody.Clonality:
MonoclonalIsotype:
IgG1 κApplications:
FACS, IF, IHC-PFormat:
PurifiedBuffer:
0.2 mg/ml in 1X PBS with 0.1 mg/ml BSA (US sourced) and 0.05% sodium azideReconstitution:
Store the Myeloid cell marker antibody at 2-8oC (with azide) or aliquot and store at -20oC or colder (without azide).Limitations:
This Myeloid cell marker antibody is available for research use only.CAS Number:
9007-83-4
DATASHEET Document
View Document