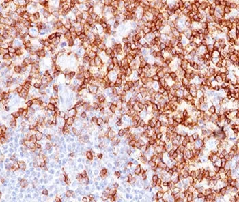
CD45RO Antibody (T-cell marker)
CAT:
800-V2237-20UG
Size:
20 µg
Price:
Ask
- Availability: 24/48H Stock Items & 2 to 6 Weeks non Stock Items.
- Dry Ice Shipment: No








CD45RO Antibody (T-cell marker)
Description:
This antibody recognizes a 180-185kDa protein, identified as isoform of leukocyte common antigen (CD45) called CD45RO (4th Leucocyte Typing Workshop: Code No. N31). The epitope recognized by this antibody is sensitive to neuraminidase digestion. CD45RO is found on mature activated T-cells, most thymocytes, and a sub-population of resting T-cells within both CD4 and CD8 subsets. The CD45RO antibody shows no reactivity with normal B or natural killer cells, but reacts with granulocytes and monocytes. Reportedly, antibody to CD45RO is useful to identify T-cell lymphomas and leukemias. It rarely stains NK cells or B-cell lymphomas.Host:
MouseImmunogen:
Cultured human T-cells from an IL-2-dependent T-cell line (CA1) were used as the immunogen for the CD45RO antibody.Clonality:
MonoclonalIsotype:
IgG2a κApplications:
FACS, IF, IHC-PFormat:
PurifiedBuffer:
0.2 mg/ml in 1X PBS with 0.1 mg/ml BSA (US sourced) and 0.05% sodium azideReconstitution:
Store the CD45RO antibody at 2-8oC (with azide) or aliquot and store at -20oC or colder (without azide).Limitations:
This CD45RO antibody is available for research use only.CAS Number:
9007-83-4