Epac1 Recombinant Antibody / RAPGEF3
CAT:
800-RQ4808
Size:
100 µL
Price:
Ask
- Availability: 24/48H Stock Items & 2 to 6 Weeks non Stock Items.
- Dry Ice Shipment: No








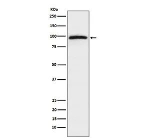
Epac1 Recombinant Antibody / RAPGEF3
Description:
The activation of RaP1 by cAMP is independent of PKA and is mediated by recently discovered family of guanine nucleotide exchange factors (GEFs) called cAMP-GEFs or Epacs. The Epac signaling therefore represents a novel mechanism for cAMP signaling with in the cAMP cascade.UniProt:
O95398Host:
RabbitImmunogen:
A synthetic peptide specific to human Epac1 / RAPGEF3 was used as the immunogen for the Epac1 antibody.Clonality:
MonoclonalIsotype:
IgGType:
RecombinantApplications:
WBFormat:
PurifiedBuffer:
Antibody in PBS with 0.02% sodium azide, 50% glycerol and 0.4-0.5mg/ml BSAReconstitution:
Store the Epac1 antibody at -20oC.Limitations:
This Epac1 antibody is available for research use only.CAS Number:
9000-83-3
DATASHEET Document
View Document