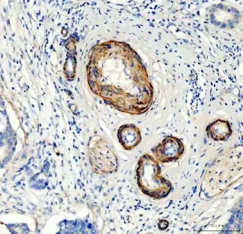
Collagen IV Antibody / COL4A2 (Canstatin fragment)
CAT:
800-R30596
Size:
100 µg
Price:
Ask
- Availability: 24/48H Stock Items & 2 to 6 Weeks non Stock Items.
- Dry Ice Shipment: No








Collagen IV Antibody / COL4A2 (Canstatin fragment)
Description:
Canstatin, a cleavage product corresponding to the collagen alpha 2(IV) NC1 domain, is one of the six subunits of Collagen IV and possesses both anti-angiogenic and anti-tumor cell activity. It inhibits proliferation and migration of endothelial cells, reduces mitochondrial membrane potential, and induces apoptosis. Specifically induces Fas-dependent apoptosis and activates procaspase-8 and -9 activity. Ligand for alphavbeta3 and alphavbeta5 integrins.UniProt:
P08572Host:
RabbitImmunogen:
An amino acid sequence from the C-terminus of human Collagen IV COL4A2 (amino acids 1697-1712: LIRTHISRCQVCMKNL) was used as the immunogen for this Collagen IV antibody (100% homologous in human, mouse and rat). This amino acid sequence is from the Canstatin fragment of the protein.Clonality:
PolyclonalIsotype:
IgGApplications:
WB, IHC-PFormat:
Antigen affinity purifiedBuffer:
0.5mg/ml if reconstituted with 0.2ml sterile DI waterReconstitution:
The lyophilized Collagen IV antibody can be stored at 4oC to -20oC. After reconstitution, aliquot and store at -20oC. Avoid repeated freezing and thawing.Limitations:
This Collagen IV antibody is available for research use only.CAS Number:
9007-83-4
DATASHEET Document
View Document