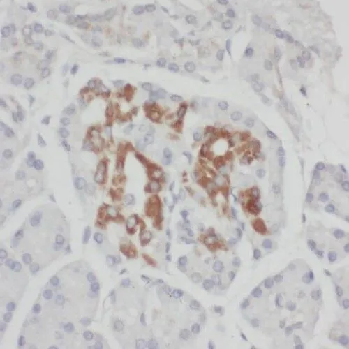
RIC8A antibody
CAT:
710-FNab07294
Size:
100 µg
Price:
Ask
- Availability: 24/48H Stock Items & 2 to 6 Weeks non Stock Items.
- Dry Ice Shipment: No








RIC8A antibody
Background:
Guanine nucleotide exchange factor(GEF), which can activate some, but not all, G-alpha proteins. Able to activate GNAI1, GNAO1 and GNAQ, but not GNAS by exchanging bound GDP for free GTP. Involved in regulation of microtubule pulling forces during mitotic movement of chromosomes by stimulating G(i)-alpha protein, possibly leading to release G(i)-alpha-GTP and NuMA proteins from the NuMA-GPSM2-G(i)-alpha-GDP complex(By similarity). Also acts as an activator for G(q)-alpha(GNAQ) protein by enhancing the G(q)-coupled receptor-mediated ERK activation.Synonyms:
Synembryn-A|Protein Ric-8A|RIC8AGene ID:
60626UniProt:
Q9NPQ8Host:
RabbitReactivity:
Human, Mouse, RatImmunogen:
resistance to inhibitors of cholinesterase 8 homolog A(C. elegans)Target:
RIC8AClonality:
PolyclonalIsotype:
IgGApplications:
ELISA, WB, IHCField of Research:
Signal TransductionPurification:
Immunogen affinity purifiedDilution:
WB: 1:500-1:2000; IHC: 1:20-1:200Purity:
≥95% as determined by SDS-PAGEForm:
LiquidMolecular Weight:
58-62 kDaStorage Conditions:
PBS with 0.02% sodium azide and 50% glycerol pH 7.3, -20°C for 12 months(Avoid repeated freeze / thaw cycles.)CAS Number:
9007-83-4