FACL4 (ACSL4) Human Knockdown Lysate
CAT:
937-LY300023
Size:
100 µg
Price:
Ask
- Availability: 24/48H Stock Items & 2 to 6 Weeks non Stock Items.
- Dry Ice Shipment: No








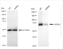
FACL4 (ACSL4) Human Knockdown Lysate
Description:
GenuIn WB-validated ACSL4 Knockdown HeLa Cell LysateUniProt:
O60488Gene Location:
2182Storage Conditions:
Store at -20 ℃ for two years.Symbol:
FACL4