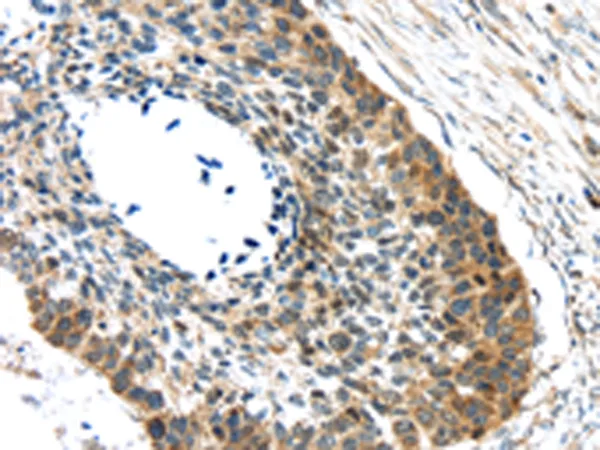
NMDAR2A (GRIN2A) Rabbit Polyclonal Antibody
CAT:
937-TA371140
Size:
100 µL
Price:
Ask
- Availability: 24/48H Stock Items & 2 to 6 Weeks non Stock Items.
- Dry Ice Shipment: No








NMDAR2A (GRIN2A) Rabbit Polyclonal Antibody
Description:
GRIN2A rabbit polyclonal antibodyUniProt:
Q12879Gene Location:
2903Host:
RabbitReactivity:
Human, Mouse, RatClonality:
PolyclonalApplications:
IHCStability:
1 yearFragment:
IgGSymbol:
GRIN2A
