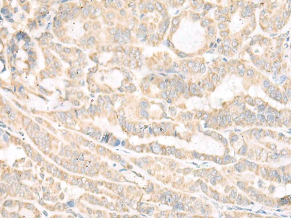
ACSF2 Rabbit Polyclonal Antibody
- Availability: 24/48H Stock Items & 2 to 6 Weeks non Stock Items.
- Dry Ice Shipment: No








ACSF2 Rabbit Polyclonal Antibody
Description:
ACSF2 rabbit polyclonal antibodyUniProt:
Q96CM8Gene Location:
80221Host:
RabbitReactivity:
Human, Mouse, RatClonality:
PolyclonalApplications:
IHCStability:
1 yearFragment:
IgGSymbol:
ACSF2
