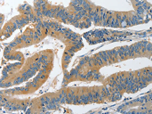
PI 3 Kinase regulatory subunit 4 (PIK3R4) Rabbit Polyclonal Antibody
CAT:
937-TA366933
Size:
100 µL
Price:
Ask
- Availability: 24/48H Stock Items & 2 to 6 Weeks non Stock Items.
- Dry Ice Shipment: No








PI 3 Kinase regulatory subunit 4 (PIK3R4) Rabbit Polyclonal Antibody
Description:
PIK3R4 rabbit polyclonal antibodyUniProt:
Q99570Gene Location:
30849Host:
RabbitReactivity:
Human, Mouse, RatClonality:
PolyclonalApplications:
IHCStability:
1 yearFragment:
IgGSymbol:
PIK3R4
