SMARCB1 Recombinant Antibody / Integrase interactor 1 / INI1 / BAF47
CAT:
800-V9581-20UG
Size:
20 µg
Price:
Ask
- Availability: 24/48H Stock Items & 2 to 6 Weeks non Stock Items.
- Dry Ice Shipment: No








SMARCB1 Recombinant Antibody / Integrase interactor 1 / INI1 / BAF47
Description:
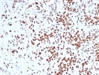
The SMARCB1 gene, which encodes a functionally uncharacterized protein component of the hSWI/SNF chromatin remodeling complex, is often mutated or deleted in malignant rhabdoid tumor (MRT). Two isoforms of INI-1, that differ by the variable inclusion of amino acids, potentially are produced by differential RNA splicing. The morphology of MRTs can present challenges in differential diagnosis. The overall survival of MRTs relative to its potential mimics (medulloblastoma, supratentorial primitive neuroectodermal tumors (sPNETs) is quite low, and thus differentiation from these other tumors is desirable. Lack of nuclear labeling by anti-INI-1 is characteristic of MRT. The majority of medulloblastomas and sPNETs are labeled by anti-INI-1. MRTs also originate from the kidney and soft tissues.UniProt:
Q12824Host:
MouseImmunogen:
A portion of amino acids 257-359 was used as the immunogen for the SMARCB1 antibody.Clonality:
MonoclonalIsotype:
IgG1 κType:
RecombinantApplications:
IHC-PFormat:
PurifiedBuffer:
0.2 mg/ml in 1X PBS with 0.1 mg/ml BSA (US sourced), 0.05% sodium azideReconstitution:
Aliquot the SMARCB1 antibody and store frozen at -20oC or colder. Avoid repeated freeze-thaw cycles.Limitations:
This SMARCB1 antibody is available for research use only.CAS Number:
9000-83-3