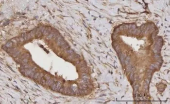
CCL23 Antibody / C-C motif chemokine 23 / MPIF-1
CAT:
800-RQ8164
Size:
100 µg
Price:
Ask
- Availability: 24/48H Stock Items & 2 to 6 Weeks non Stock Items.
- Dry Ice Shipment: No








CCL23 Antibody / C-C motif chemokine 23 / MPIF-1
Description:
This gene is one of several chemokine genes clustered on the q-arm of chromosome 17. Chemokines form a superfamily of secreted proteins involved in immunoregulatory and inflammatory processes. The superfamily is divided into four subfamilies based on the arrangement of the N-terminal cysteine residues of the mature peptide. This chemokine, a member of the CC subfamily, displays chemotactic activity on resting T lymphocytes and monocytes, lower activity on neutrophils and no activity on activated T lymphocytes. The protein is also a strong suppressor of colony formation by a multipotential hematopoietic progenitor cell line. In addition, the product of this gene is a potent agonist of the chemokine (C-C motif) receptor 1. Alternative splicing results in multiple transcript variants that encode different isoforms.UniProt:
P55773Host:
RabbitImmunogen:
E. coli-derived recombinant human protein (amino acids R22-N120) was used as the immunogen for the C-C motif chemokine 23 antibody.Clonality:
PolyclonalIsotype:
IgGApplications:
IHC-P, Direct ELISAFormat:
Antigen affinity purifiedBuffer:
0.5mg/ml if reconstituted with 0.2ml sterile DI waterReconstitution:
After reconstitution, the C-C motif chemokine 23 antibody can be stored for up to one month at 4oC. For long-term, aliquot and store at -20oC. Avoid repeated freezing and thawing.Limitations:
This C-C motif chemokine 23 antibody is available for research use only.CAS Number:
9007-83-4