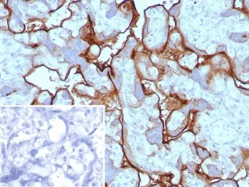
PD-L1 Recombinant Antibody / B7-H1 / CD274
CAT:
800-V5292-20UG
Size:
20 µg
Price:
Ask
- Availability: 24/48H Stock Items & 2 to 6 Weeks non Stock Items.
- Dry Ice Shipment: No








PD-L1 Recombinant Antibody / B7-H1 / CD274
Description:
PD-L1 is a checkpoint regulator in immune cells, it is expressed on immune or non-hematopoietic cells. Expression of the protein is seen during pregnancy where it has a role in suppressing the immune system. PD-L1 induces an inhibitory signal in activated T-cells and promotes T-cell apoptosis. It is overexpressed in a number of different cancers where it is believed to play a significant role in the cancer s ability to evade the immune system.UniProt:
Q9NZQ7Host:
RabbitImmunogen:
A recombinant partial protein sequence (within amino acids 190-290) from the human protein was used as the immunogen for the PD-L1 antibody.Clonality:
MonoclonalIsotype:
IgG κType:
RecombinantApplications:
IHC-PFormat:
PurifiedBuffer:
0.2 mg/ml in 1X PBS with 0.1 mg/ml BSA (US sourced), 0.05% sodium azideReconstitution:
Aliquot the PD-L1 antibody and store frozen at -20oC or colder. Avoid repeated freeze-thaw cycles.Limitations:
This PD-L1 antibody is available for research use only.CAS Number:
9000-83-3