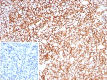
Clusterin Recombinant Antibody / Apolipoprotein J / APO-J
CAT:
800-V5240-20UG
Size:
20 µg
Price:
Ask
- Availability: 24/48H Stock Items & 2 to 6 Weeks non Stock Items.
- Dry Ice Shipment: No








Clusterin Recombinant Antibody / Apolipoprotein J / APO-J
Description:
Clusterin, also designated complement lysis inhibitor (CLI), apolipoprotein J (APOJ), sulfated glycoprotein 2 (SGP2), SP40 and testosterone-repressed prostate message 2 (TRPM2), is a secretory, heterodimeric glycoprotein that influences immune regulation, cell adhesion, transformation, lipid transportation, tissue remodeling, membrane recycling and cell-cell interactions. Clusterin is synthesized as a 449 amino acid polypeptide that is post-translationally cleaved at an internal bond between Arg 227 and Ser 228. Two subunits, Alpha and beta, are associated through disulfide bonds. The beta subunit (also called ApoJAlpha) corresponds to residues 23-227. The Alpha subunit (also called ApoJbeta) corresponds to residues 228-449. Overexpression of Clusterin appears to be more common in late stages of mammary tumor progression. Clusterin markedly influences beta-Amyloid structure and neuritic toxicity in vivo and may influence Alzheimer s pathogenesis.UniProt:
P10909Host:
RabbitImmunogen:
A recombinant partial protein sequence (within amino acids 249-449) from the human protein was used as the immunogen for the Clusterin antibody.Clonality:
MonoclonalIsotype:
IgG κType:
RecombinantApplications:
IHC-PFormat:
PurifiedBuffer:
0.2 mg/ml in 1X PBS with 0.1 mg/ml BSA (US sourced), 0.05% sodium azideReconstitution:
Aliquot the Clusterin antibody and store frozen at -20oC or colder. Avoid repeated freeze-thaw cycles.Limitations:
This Clusterin antibody is available for research use only.CAS Number:
9000-83-3
DATASHEET Document
View Document