CDH17 Recombinant Antibody / Cadherin 17
CAT:
800-V5218SAF-100UG
Size:
100 µg
Price:
Ask
- Availability: 24/48H Stock Items & 2 to 6 Weeks non Stock Items.
- Dry Ice Shipment: No








CDH17 Recombinant Antibody / Cadherin 17
Description:
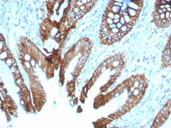
It recognizes a protein of 120kDa, which is identified as Cadherin 17 (also known as LI Cadherin). The cadherins are a family of Calcium-dependent adhesion molecules that function to mediate cell-cell binding critical to the maintenance of tissue structure and morphogenesis. Cadherins each contain a large extracellular domain at the amino terminus, which is characterized by a series of five homologous repeats, the most distal of which is thought to be responsible for binding specificity. The relatively short carboxy terminal, intracellular domain interacts with a variety of cytoplasmic proteins, including beta-catenin, to regulate cadherin function. LI-cadherin (for liver-intestine-cadherin) expression is restricted to liver and intestine tissues and is specifically localized to the basolateral domain of hepatocytes and enterocytes.UniProt:
Q12864Host:
MouseImmunogen:
A recombinant partial protein sequence (within amino acids 242-418) from the human protein was used as the immunogen for the Cadherin 17 antibody.Clonality:
MonoclonalIsotype:
IgG1 κType:
RecombinantApplications:
IHC-PFormat:
PurifiedBuffer:
1 mg/ml in 1X PBS; BSA free, sodium azide freeReconstitution:
Aliquot the Cadherin 17 antibody and store frozen at -20oC or colder. Avoid repeated freeze-thaw cycles.Limitations:
This Cadherin 17 antibody is available for research use only.CAS Number:
9000-83-3