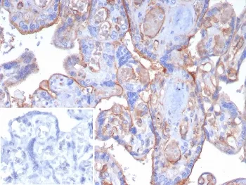
Thrombomodulin Recombinant Antibody / CD141
CAT:
800-V4815-100UG
Size:
100 µg
Price:
Ask
- Availability: 24/48H Stock Items & 2 to 6 Weeks non Stock Items.
- Dry Ice Shipment: No








Thrombomodulin Recombinant Antibody / CD141
Description:
It recognizes a protein of 75kDa, identified as Thrombomodulin, or CD141. Thrombomodulin is a transmembrane glycoprotein with natural anticoagulant properties. It is normally expressed by a restricted number of cells, such as endothelial and mesothelial cells. In addition, synovial lining and syncytio-trophoblasts of placenta also express thrombomodulin. This protein is present in almost all of benign vascular tumors and majority of malignant vascular tumors (Kaposi s sarcoma, angiosarcoma, and epithelioid hemangioendothelioma). Hence, anti-thrombomodulin serves as a sensitive marker for lymphatic endothelial cells and their tumors. Recently, thrombomodulin antibody has been used for mesothelial cells and malignant mesotheliomas.UniProt:
P07204Host:
RabbitImmunogen:
Recombinant full-length human protein was used as the immunogen for the CD141 antibody.Clonality:
MonoclonalIsotype:
IgG κType:
RecombinantApplications:
IHC-PFormat:
PurifiedBuffer:
0.2 mg/ml in 1X PBS with 0.1 mg/ml BSA (US sourced), 0.05% sodium azideReconstitution:
Aliquot the CD141 antibody and store frozen at -20oC or colder. Avoid repeated freeze-thaw cycles.Limitations:
This CD141 antibody is available for research use only.CAS Number:
9000-83-3