CD34 Antibody
CAT:
800-V4792-20UG
Size:
20 µg
Price:
Ask
- Availability: 24/48H Stock Items & 2 to 6 Weeks non Stock Items.
- Dry Ice Shipment: No








CD34 Antibody
Description:
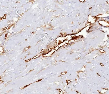
This mAb recognizes a single chain, transmembrane, heavily glycosylated protein of 90-120kDa, which is identified as CD34. On the basis of differential sensitivity to degradation by specific enzymes, epitopes of monoclonal antibodies to CD34 are classified into three main categories, class I, class II and class III. It is a class II antibody whose epitope is resistant to neuraminidase but sensitive to glycoprotease and chymopapain. CD34 expression is a hallmark for identifying pluripotent hematopoietic stem or progenitor cells. Its expression is gradually lost as lineage committed progenitors differentiate. CD34 is a marker of choice for staining blasts in acute myeloid leukemia. In addition, CD34 is expressed by soft tissue tumors, such as solitary fibrous tumor and gastrointestinal stromal tumor. Its expression is also found in vascular endothelium. It appears that proliferating endothelial cells express this molecule more than the non-proliferating endothelial cells. Anti-CD34 labels > 85% of angiosarcoma and Kaposi s sarcoma, but with a lower specificity.UniProt:
P28906Host:
MouseImmunogen:
A recombinant partial protein sequence (within amino acids 50-250) from the human protein was used as the immunogen for the CD34 antibody.Clonality:
MonoclonalIsotype:
IgG1 κApplications:
IHC-PFormat:
PurifiedBuffer:
0.2 mg/ml in 1X PBS with 0.1 mg/ml BSA (US sourced), 0.05% sodium azideReconstitution:
Aliquot the CD34 antibody and store frozen at -20oC or colder. Avoid repeated freeze-thaw cycles.Limitations:
This CD34 antibody is available for research use only.CAS Number:
9007-83-4
DATASHEET Document
View Document