MPO Recombinant Antibody / Myeloperoxidase
CAT:
800-V4528SAF-100UG
Size:
100 µg
Price:
Ask
- Availability: 24/48H Stock Items & 2 to 6 Weeks non Stock Items.
- Dry Ice Shipment: No








MPO Recombinant Antibody / Myeloperoxidase
Description:
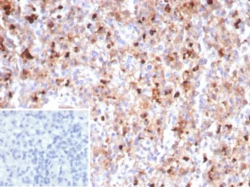
Myeloperoxidase (MPO) also called the peroxidase (POD), is an important marker of bone marrow cells. It is one of the members of the family of heme peroxidase super existing in myeloid cells (mainly neutrophils and monocytes of aniline blue particles). With the deepening of the research on MPO, MPO gene polymorphism has been found to lead to individual for some disease susceptibility differences, with a variety of human development is closely related to the occurrence of diseases. The antibody reacts with neutrophil granulocytes and monocytes in blood and with precursors of granulocytes in the bone marrow. The antibody is useful as an aid for classification of neoplastic tissue, i.e. myeloblasts and immature myeloid cells of acute myelogenous leukemia, progranulocytic leukemia, monomyelocytic leukemia, erythroleukemia and myeloblastoma.UniProt:
P05164Host:
RabbitImmunogen:
A recombinant fragment of human MPO protein was used as the immunogen for the MPO antibody.Clonality:
MonoclonalIsotype:
IgG κType:
RecombinantApplications:
IHC-PFormat:
PurifiedBuffer:
1 mg/ml in 1X PBS; BSA free, sodium azide freeReconstitution:
Aliquot the MPO antibody and store frozen at -20oC or colder. Avoid repeated freeze-thaw cycles.Limitations:
This MPO antibody is available for research use only.CAS Number:
9000-83-3
DATASHEET Document
View Document