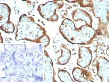
IMP3 Recombinant Antibody / Insulin like growth factor 2 mRNA binding protein 3
CAT:
800-V4394-100UG
Size:
100 µg
For Laboratory Research Only. Not for Clinical or Personal Use.
Price:
Ask
- Availability: 24/48H Stock Items & 2 to 6 Weeks non Stock Items.
- Dry Ice Shipment: No








IMP3 Recombinant Antibody / Insulin like growth factor 2 mRNA binding protein 3
Description:
Imp3, also known as BRMS2, C15orf12 or MRPS4, is a 184 amino acid protein that contains one S4 RNA-binding domain and is the mammalian homolog of the yeast Imp3 protein. Localized to the nucleus, Imp3 exists as a component of a heterotrimeric complex consisting of MPP10, Imp3 and Imp4 and, in this complex, plays a key role in early cleavage events during pre-18S ribosomal processing. The gene encoding Imp3 maps to human chromosome 15, which houses over 700 genes and comprises nearly 3% of the human genome. Angelman syndrome, Prader-Willi syndrome, Tay-Sachs disease and Marfan syndrome are all associated with defects in chromosome 15-localized genes.UniProt:
Q9NV31Host:
RabbitImmunogen:
A recombinant fragment of human protein was used as the immunogen for the IMP3 antibody.Clonality:
MonoclonalIsotype:
IgG κType:
RecombinantApplications:
IHC-PFormat:
PurifiedBuffer:
0.2 mg/ml in 1X PBS with 0.1 mg/ml BSA (US sourced), 0.05% sodium azideReconstitution:
Aliquot the IMP3 antibody and store frozen at -20oC or colder. Avoid repeated freeze-thaw cycles.Limitations:
This IMP3 antibody is available for research use only.CAS Number:
9000-83-3