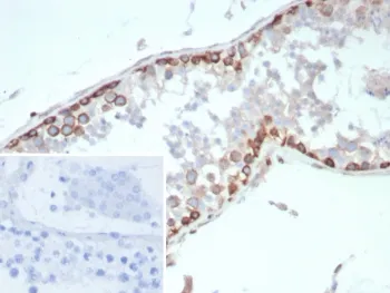
HIF1A Antibody / HIF-1 alpha
CAT:
800-V4351-100UG
Size:
100 µg
Price:
Ask
- Availability: 24/48H Stock Items & 2 to 6 Weeks non Stock Items.
- Dry Ice Shipment: No








HIF1A Antibody / HIF-1 alpha
Description:
HIF1 (hypoxia-inducible factor 1), a heterodimeric transcription factor complex central to cellular response to hypoxia, consists of two subunits (HIF-1 alpha and HIF-1 beta) which are basic helix-loop-helix proteins of the PAS (Per, ARNT, Sim) family. Expression of HIF-1 alpha protein is regulated by cellular oxygen level alterations as well as in oxygen-independent manner via different cytokines (through the PI3K-AKT-mTOR pathway), growth factors, oncogenic activation, or loss of tumor suppressor function etc. In normoxic cells, HIF-1 alpha is proline hydroxylated leading to a conformational change that promotes its binding to the VLH (von Hippel Lindau) protein E3 ligase complex; ubiquitination and followed by rapid proteasomal degradation. Hypoxia as well as chemical hydroxylase inhibitors (desferrioxamine, cobalt etc.) inhibit HIF-1 alpha degradation and lead to its accumulation in the cells, whereas, contrastingly, HIF-1 beta/ARNT (AhR nuclear translocator) remains stable under both conditions. Besides their critical role in hypoxic response, HIF1s regulates the transcription of genes responsible for angiogenesis, erythropoiesis/iron-metabolism, glucose metabolism, cell proliferation/survival, adipogenesis, carotid body formation, B lymphocyte development and immune reactions.UniProt:
Q16665Host:
MouseImmunogen:
A recombinant partial protein sequence (within amino acids 239-530) from the human protein was used as the immunogen for the HIF1 alpha antibody.Clonality:
MonoclonalIsotype:
IgG1 κApplications:
IHC-PFormat:
PurifiedBuffer:
0.2 mg/ml in 1X PBS with 0.1 mg/ml BSA (US sourced), 0.05% sodium azideReconstitution:
Aliquot the HIF1 alpha antibody and store frozen at -20oC or colder. Avoid repeated freeze-thaw cycles.Limitations:
This HIF1 alpha antibody is available for research use only.CAS Number:
9007-83-4