Progesterone Receptor Recombinant Antibody
CAT:
800-V4177SAF-100UG
Size:
100 µg
Price:
Ask
- Availability: 24/48H Stock Items & 2 to 6 Weeks non Stock Items.
- Dry Ice Shipment: No








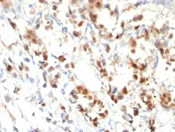
Progesterone Receptor Recombinant Antibody
Description:
Progesterone is one of the central regulators of female reproduction. In breast development, progesterone is involved in the formation of lobular-alveolar structures and also affects differentiation in the breast by modulation of milk protein synthesis. The cellular effects of progesterone are mediated through progesterone receptors (PR). PR, a protein with 946 amino acids, is a ligand-activated transcription factor member of the steroid receptor super family of nuclear receptors. PR is predominantly expressed in female sex steroid responsive tissues such as the mammary gland, uterus and ovary but is also found in other tissues such as endocrine cells of the Langerhans' islets. The estrogen receptor (ER) and PR status has been used for over 20 years as a predictor of breast carcinoma responsiveness to endocrine therapy and as a prognostic indicator for early recurrence.UniProt:
P06401Host:
RabbitImmunogen:
A recombinant partial protein (within amino acids 1-200) from the human protein was used as the immunogen for the Progesterone Receptor antibody.Clonality:
MonoclonalIsotype:
IgG κType:
RecombinantApplications:
IHC-PFormat:
PurifiedBuffer:
1 mg/ml in 1X PBS; BSA free, sodium azide freeReconstitution:
Aliquot the Progesterone Receptor antibody and store frozen at -20oC or colder. Avoid repeated freeze-thaw cycles.Limitations:
This Progesterone Receptor antibody is available for research use only.CAS Number:
9000-83-3