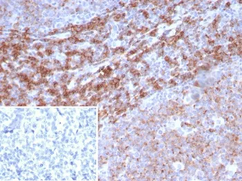
CD39 Recombinant Antibody
- Availability: 24/48H Stock Items & 2 to 6 Weeks non Stock Items.
- Dry Ice Shipment: No








CD39 Recombinant Antibody
Description:
CD39, also known as ectonucleoside triphosphate diphosphohydrolase 1 (ENP1), is an integral membrane glycoprotein that acts as an extracellular nucleotide-hydrolyzing enzyme. CD39 inhibits ADP-induced platelet aggregation by hydrolyzing ADP to AMP, and ultimately generating Adenosine. Intracellular CD39 undergoes glycosylation at six N-glycosylation sites and translocates to the membrane in order to be an active enzyme. Alternative splicing gives rise to three CD39 isoforms, vascular, placenta I and placenta II. The placenta I isoform differs at the amino terminus whereas the placenta II isoform is missing amino acids 300-510 at the C-terminus. CD39 is expressed in vascular tissues including placenta, lung, skeletal muscle and kidney, as well as endothelium, smooth muscle, cardiac cells, lymphocytes, such as activated B cells, activated NK cells, macrophages, Dendridic cells and platelets. CD39 may be used as an anti-thrombic agent for pre-treating patients at risk for coronary artery occlusion and thrombic stroke.UniProt:
P49961Host:
RabbitImmunogen:
Recombinant full-length human CD39 protein was used as the immunogen for the CD39 antibody.Clonality:
MonoclonalIsotype:
IgG κType:
RecombinantApplications:
IHC-PFormat:
PurifiedBuffer:
1 mg/ml in 1X PBS; BSA free, sodium azide freeReconstitution:
Aliquot the CD39 antibody and store frozen at -20oC or colder. Avoid repeated freeze-thaw cycles.Limitations:
This CD39 antibody is available for research use only.CAS Number:
9000-83-3
