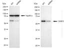
U2AF65 (U2AF2) Human Knockdown Lysate
CAT:
937-LY300460
Size:
100 µg
Price:
Ask
- Availability: 24/48H Stock Items & 2 to 6 Weeks non Stock Items.
- Dry Ice Shipment: No








U2AF65 (U2AF2) Human Knockdown Lysate
Description:
GenuIn WB-validated U2AF2 Knockdown HeLa Cell LysateUniProt:
P26368Gene Location:
11338Storage Conditions:
Store at -20 ℃ for two years.Symbol:
U2AF65