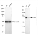
CTP synthase (CTPS1) Human Knockdown Lysate
CAT:
937-LY300002
Size:
100 µg
Price:
Ask
- Availability: 24/48H Stock Items & 2 to 6 Weeks non Stock Items.
- Dry Ice Shipment: No








CTP synthase (CTPS1) Human Knockdown Lysate
Description:
GenuIn WB-validated CTPS1 Knockdown Cell LysateUniProt:
P17812Gene Location:
1503Storage Conditions:
Store at -20 ℃ for two years.Symbol:
CTP synthase
