CDT1 Human Knockdown Lysate
CAT:
937-LY300106
Size:
100 µg
Price:
Ask
- Availability: 24/48H Stock Items & 2 to 6 Weeks non Stock Items.
- Dry Ice Shipment: No








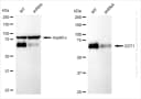
CDT1 Human Knockdown Lysate
Description:
GenuIn WB-validated CDT1 Knockdown HeLa Cell LysateUniProt:
Q9H211Gene Location:
81620Storage Conditions:
Store at -20 ℃ for two years.Symbol:
CDT1