Arp2 (ACTR2) Human Knockdown Lysate
CAT:
937-LY300321
Size:
100 µg
Price:
Ask
- Availability: 24/48H Stock Items & 2 to 6 Weeks non Stock Items.
- Dry Ice Shipment: No








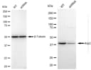
Arp2 (ACTR2) Human Knockdown Lysate
Description:
GenuIn WB-validated ACTR2 Knockdown HeLa Cell LysateUniProt:
P61160Gene Location:
10097Storage Conditions:
Store at -20 ℃ for two years.Symbol:
Arp2