DENN (MADD) Human Knockdown Lysate
CAT:
937-LY300367
Size:
100 µg
Price:
Ask
- Availability: 24/48H Stock Items & 2 to 6 Weeks non Stock Items.
- Dry Ice Shipment: No








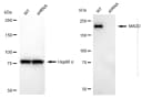
DENN (MADD) Human Knockdown Lysate
Description:
GenuIn WB-validated MADD Knockdown HeLa Cell LysateUniProt:
Q8WXG6Gene Location:
8567Stability:
Stable for 12 months from the date of receipt of the product under proper storage and handling conditions. Avoid repeated freeze-thaw cycles.Shipping Conditions:
Shipped with dry ice.Storage Conditions:
Store at -20 ℃ for two years.Symbol:
DENN