SMARCE1 Human Knockdown Lysate
CAT:
937-LY300297
Size:
100 µg
Price:
Ask
- Availability: 24/48H Stock Items & 2 to 6 Weeks non Stock Items.
- Dry Ice Shipment: No








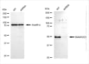
SMARCE1 Human Knockdown Lysate
Description:
GenuIn WB-validated SMARCE1 Knockdown HeLa Cell LysateUniProt:
Q969G3Gene Location:
6605Storage Conditions:
Store at -20 ℃ for two years.Symbol:
SMARCE1