HSP70-1A (HSPA1A) Rabbit Polyclonal Antibody
CAT:
937-TA377253
Size:
100 µL
Price:
Ask
- Availability: 24/48H Stock Items & 2 to 6 Weeks non Stock Items.
- Dry Ice Shipment: No








HSP70-1A (HSPA1A) Rabbit Polyclonal Antibody
Description:
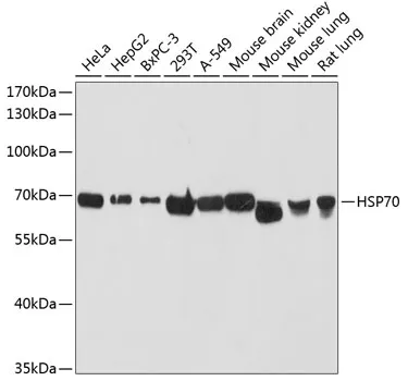
HSP70/HSPA1 Rabbit polyclonal AntibodyUniProt:
P0DMV8Gene Location:
3303Host:
RabbitReactivity:
Human, Mouse, RatClonality:
PolyclonalApplications:
IF, IHC, WBStability:
Shelf life: one year from despatch.Fragment:
IgGSymbol:
HSPA1A