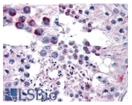
Frizzled 9 (FZD9) Goat Polyclonal Antibody
CAT:
937-AP31110PU-N
Size:
100 µg
Price:
Ask
- Availability: 24/48H Stock Items & 2 to 6 Weeks non Stock Items.
- Dry Ice Shipment: No








Frizzled 9 (FZD9) Goat Polyclonal Antibody
Description:
Frizzled 9 (FZD9) goat polyclonal antibody, Aff - PurifiedUniProt:
O00144Accession Number:
NP_003499.1Gene Location:
8326Host:
GoatReactivity:
Human, Mouse, RatClonality:
PolyclonalApplications:
ELISA, IHCStability:
Shelf life: one year from despatch.Symbol:
FZD9CAS Number:
9007-83-4