Anti-TAG-72 / CA72.4 (Tumor-Associated Glycoprotein)(rB72.3), Biotin conjugate
CAT:
37-BNCB3177-100
Size:
100 µL
Price:
Ask
- Availability: 24/48H Stock Items & 2 to 6 Weeks non Stock Items.
- Dry Ice Shipment: No








Anti-TAG-72 / CA72.4 (Tumor-Associated Glycoprotein)(rB72.3), Biotin conjugate
Description:
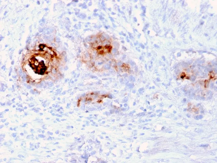
Recognizes an oncofetal antigen of 220 kDa, identified as a tumor-associated glycoprotein (TAG-72) with properties of a mucin. This MAb defines the mucin-carried sialylated-Tn epitope. TAG-72 is usually expressed by adenocarcinomas, but is negative in mesotheliomas. Studies have reported that this antibody has 80% sensitivity and 93% specificity for pulmonary adenocarcinoma. Therefore, TAG-72 is a useful marker to distinguish between mesothelioma and adenocarcinoma. However, false positive reactions can occur so results must be interpreted with the utmost caution. This antibody may be useful in the differentiation of non-small cell carcinomas from small cell carcinomas of the lung. The combined use of anti-TAG-72 and anti-GCDFP-15 is valuable in the diagnosis of apocrine carcinoma. Primary antibodies are available purified, or with a selection of fluorescent CF® Dyes and other labels. CF® Dyes offer exceptional brightness and photostability. Note: Conjugates of blue fluorescent dyes like CF®405S and CF®405M are not recommended for detecting low abundance targets, because blue dyes have lower fluorescence and can give higher non-specific background than other dye colors.Synonyms:
CA72.4; Tumor associated glycoprotein 72UNSPSC:
41116161UNSPSC Description:
Primary and secondary antibodies for multiple methodology immunostaining detection applicationGene Name:
Not KnownGene ID:
182875NCBI Gene ID:
Not KnownUniProt:
Not KnownCellular Locus:
Plasma membraneHost:
MouseSpecies Reactivity:
Cow, Dog, Hamster, Human, RatImmunogen:
Membrane-enriched fraction of a human breast carcinoma liver metastasisTarget Antigen:
CA72.4 | TAG-72Clonality:
Recombinant MonoclonalIsotype:
IgG1 κClone:
rB72.3Conjugation:
BiotinDisease:
TumorSource:
AnimalApplications:
IHC, FFPE (verified)Validated Applications:
IHC, FFPEPositive Control:
Jurkat cells, Breast or lung carcinoma.Concentration:
0.1 mg/mLBuffer:
PBS, 0.1% BSA, 0.05% azideMolecular Weight:
220 kDaShipping Conditions:
Room temperatureStorage Conditions:
4°C; Stable at room temperature or 37°C (98°F) for 7 days.Shelf Life:
2 yearsCAS Number:
9007-83-4
DATASHEET Document
View DocumentMSDS Document
View Document