Anti-SOX2 (Embryonic Stem Cell Marker)(SOX2/3169R)
CAT:
37-BNUB3169-500
Size:
500 µL
Price:
Ask
- Availability: 24/48H Stock Items & 2 to 6 Weeks non Stock Items.
- Dry Ice Shipment: No








Anti-SOX2 (Embryonic Stem Cell Marker)(SOX2/3169R)
Description:
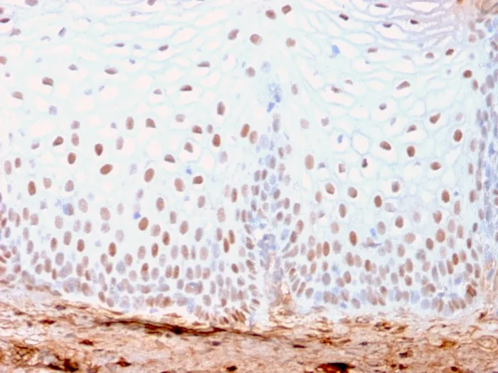
SOX2 is required for stem cell maintenance in the central nervous system, and it also regulates gene expression in the stomach. SOX2 is necessary for regulating multiple transcription factors that affect Oct 3/4 expression. An essential function of SOX2 is to stabilize embryonic stem cells in a pluripotent state by maintaining the requisite level of Oct 3/4 expression. Reportedly, SOX2 is associated with aggressive phenotypes of breast, head and neck, gastric, colorectal, bladder, and small cell lung cancers. However, SOX2 is expressed in a high percentage of lung squamous cell carcinomas and has been shown to be an independent favorable prognostic marker. Primary antibodies are available purified, or with a selection of fluorescent CF® Dyes and other labels. CF® Dyes offer exceptional brightness and photostability. Note: Conjugates of blue fluorescent dyes like CF®405S and CF®405M are not recommended for detecting low abundance targets, because blue dyes have lower fluorescence and can give higher non-specific background than other dye colors.Synonyms:
ANOP3; Delta EF2a; MCOPS3 (Microphthalmia Syndromic type 3); SOX-2; SRY (sex determining region Y) box 2; SRY related HMG box 2; Transcription factor SOX-2; ysbUNSPSC:
41116161UNSPSC Description:
Primary and secondary antibodies for multiple methodology immunostaining detection applicationGene Name:
SOX2Gene ID:
6657NCBI Gene ID:
518438UniProt:
P48431Cellular Locus:
NucleusHost:
RabbitSpecies Reactivity:
Human, MouseImmunogen:
Recombinant fragment (within aa176-305) of human SOX2 protein (exact sequence is proprietary)Target Antigen:
SOX2Clonality:
Recombinant MonoclonalIsotype:
IgGClone:
SOX2/3169RConjugation:
Purified, with BSADisease:
TumorSource:
AnimalApplications:
IHC, FFPE (verified)Validated Applications:
IHC, FFPEPositive Control:
A549, NCCIT cells. Lung or Cervical carcinoma.Concentration:
0.2 mg/mLBuffer:
PBS, 0.05% BSA, 0.05% azideMolecular Weight:
34 kDaShipping Conditions:
Room temperatureStorage Conditions:
4°C; Stable at room temperature or 37°C (98°F) for 7 days.Shelf Life:
2 yearsCAS Number:
9007-83-4
DATASHEET Document
View DocumentMSDS Document
View Document