Anti-Human Kappa Light Chain / IGKC (B-Cell Marker)(KLC2886R), CF640R conjugate
CAT:
37-BNC402886-500
Size:
500 µL
Price:
Ask
- Availability: 24/48H Stock Items & 2 to 6 Weeks non Stock Items.
- Dry Ice Shipment: No








Anti-Human Kappa Light Chain / IGKC (B-Cell Marker)(KLC2886R), CF640R conjugate
Description:
This MAb is specific to kappa light chain of immunoglobulin and shows no cross-reaction with lambda light chain or any of the five heavy chains. It recognizes human Ig kappa light chains of both secreted and cell surface immunoglobulin. It detects also free kappa light chains. In mammals, the two light chains in an antibody are always identical, with only one type of light chain, kappa or lambda. The ratio of Kappa to Lambda is 70:30. However, with the occurrence of multiple myeloma or other B-cell malignancies this ratio is disturbed. Antibody to the kappa light chain is reportedly useful in the identification of leukemias, plasmacytomas, and certain non-Hodgkin's lymphomas. Demonstration of clonality in lymphoid infiltrates indicates that the infiltrate is malignant. Primary antibodies are available purified, or with a selection of fluorescent CF® Dyes and other labels. CF® Dyes offer exceptional brightness and photostability. Note: Conjugates of blue fluorescent dyes like CF®405S and CF®405M are not recommended for detecting low abundance targets, because blue dyes have lower fluorescence and can give higher non-specific background than other dye colors.Synonyms:
HCAK1; Ig Kappa Chain C Region; IGKC; Immunoglobulin KMUNSPSC:
41116161UNSPSC Description:
Primary and secondary antibodies for multiple methodology immunostaining detection applicationGene Name:
IGKCGene ID:
3514NCBI Gene ID:
449609UniProt:
P01601; P01834Cellular Locus:
Plasma membrane|Secreted (extracellular)Host:
RabbitSpecies Reactivity:
HumanImmunogen:
Recombinant full-length human Ig kappa chainTarget Antigen:
IGKC | Kappa Light ChainClonality:
Recombinant MonoclonalIsotype:
IgGClone:
KLC2886RConjugation:
CF640RDisease:
TumorSource:
AnimalApplications:
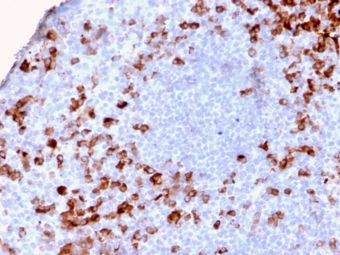
IHC, FFPE (verified)Validated Applications:
IHC, FFPEField of Research:
Cancer, Immunology, InflammationPositive Control:
293T, Raji or hPBL cells. Tonsil or SpleenConcentration:
0.1 mg/mLBuffer:
PBS, 0.1% BSA, 0.05% azideMolecular Weight:
~22.5 kDaShipping Conditions:
Room temperatureStorage Conditions:
4°C; Protect from light; Stable at room temperature or 37°C (98°F) for 7 days.Shelf Life:
2 yearsCAS Number:
9007-83-4
DATASHEET Document
View DocumentMSDS Document
View Document