Androgen Receptor Recombinant Antibody
CAT:
800-V9346SAF-100UG
Size:
100 µg
For Laboratory Research Only. Not for Clinical or Personal Use.
Price:
Ask
- Availability: 24/48H Stock Items & 2 to 6 Weeks non Stock Items.
- Dry Ice Shipment: No








Androgen Receptor Recombinant Antibody
Description:
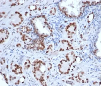
Androgen Receptor is a member of the superfamily of ligand responsive transcription regulators. The androgen receptor functions in the nucleus where it is believed to act as a transcriptional regulator mediating the action of male sex hormones. The androgen receptor has wide distribution and can be demonstrated by immunohistochemistry in several tissues including prostate, skin, and oral mucosa. Androgen receptor has been reported in a diverse range of human tumors including osteosarcoma, and in prostatic carcinoma androgen receptor expression may be of clinical relevance.UniProt:
P10275Host:
MouseImmunogen:
A portion of amino acids 1-100 from human Androgen Receptor protein was used as the immunogen for the recombinant AR antibody.Clonality:
MonoclonalIsotype:
IgG1 κType:
RecombinantApplications:
IHC-PFormat:
PurifiedBuffer:
1 mg/ml in 1X PBS; BSA free, sodium azide freeReconstitution:
Aliquot the recombinant AR antibody and store frozen at -20oC or colder. Avoid repeated freeze-thaw cycles.Limitations:
This recombinant AR antibody is available for research use only.CAS Number:
9000-83-3