p53 Antibody / TP53
CAT:
800-V9090IHC-7ML
Size:
7 mL
Price:
Ask
- Availability: 24/48H Stock Items & 2 to 6 Weeks non Stock Items.
- Dry Ice Shipment: No








p53 Antibody / TP53
Description:
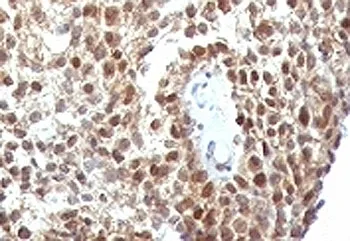
Recognizes a 53kDa protein, which is identified as p53 suppressor gene product. It reacts with the mutant as well as the wild form of p53. p53 is a tumor suppressor gene expressed in a wide variety of tissue types and is involved in regulating cell growth, replication, and apoptosis. It binds to MDM2, SV40 T antigen and human papilloma virus E6 protein. Positive nuclear staining with p53 antibody has been reported to be a negative prognostic factor in breast carcinoma, lung carcinoma, colorectal, and urothelial carcinoma. Anti-p53 positivity has also been used to differentiate uterine serous carcinoma from endometrioid carcinoma as well as to detect intratubular germ cell neoplasia. Mutations involving p53 are found in a wide variety of malignant tumors, including breast, ovarian, bladder, colon, lung, and melanoma.UniProt:
P04637Host:
MouseImmunogen:
Recombinant human wild type p53 protein was used as the immunogen for this anti-p53 antibody. Its epitope maps within the N-terminus (approx. amino acids 37-45).Clonality:
MonoclonalIsotype:
IgG2bκApplications:
IHC-PFormat:
PurifiedBuffer:
Prediluted in 1X PBS with 0.1 mg/ml BSA (US sourced) and 0.05% sodium azide; *For IHC use only*Reconstitution:
Store the anti-p53 antibody at 2-8oC (with azide) or aliquot and store at -20oC or colder (without azide).Limitations:
This anti-p53 antibody is available for research use only.CAS Number:
9007-83-4