Neurofilament Antibody, phospho (NF-H)
CAT:
800-V2759-20UG
Size:
20 µg
Price:
Ask
- Availability: 24/48H Stock Items & 2 to 6 Weeks non Stock Items.
- Dry Ice Shipment: No








Neurofilament Antibody, phospho (NF-H)
Description:
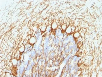
This mAb reacts with a 200kDa protein, identified as heavy sub-unit of neurofilaments (NF-H). It reacts specifically with the phosphorylated KSP/KEP segment at the C-terminus of the heavy subunit (NF-H) of neurofilaments. After dephosphorylation of neurofilaments with alkaline phosphatase, this Ab no longer binds. Neurofilaments make up the main structural elements of axons and dendrites and are found in neurons, peripheral nerves, and sympathetic ganglion cells. Neurofilaments consist of three major subunits with molecular weights of 68kDa (NF-L), 160kDa (NF-M) and 200kDa (NF-H). Anti-neurofilament stains a number of neural, neuroendocrine, and endocrine tumors. Neuromas, ganglioneuromas, gangliogliomas, ganglioneuroblastomas, and neuroblastomas stain positively for anti-neurofilament. Neurofilaments are also present in paragangliomas as well as adrenal and extra-adrenal pheochromocytomas. Carcinoids, neuroendocrine carcinomas of the skin, and cell carcinomas of the lung also express neurofilament.UniProt:
P12036Host:
MouseImmunogen:
Crude neurofilament preparation from porcine spinal cord was used as the immunogen for the NF-H antibody (phospho).Clonality:
MonoclonalIsotype:
IgG1 κApplications:
WB, FACS, IHC-PFormat:
PurifiedBuffer:
0.2 mg/ml in 1X PBS with 0.1 mg/ml BSA (US sourced) and 0.05% sodium azideReconstitution:
Store the NF-H antibody (phospho) at 2-8oC (with azide) or aliquot and store at -20oC or colder (without azide).Limitations:
This NF-H antibody (phospho) is available for research use only.CAS Number:
9007-83-4