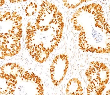
p53 Antibody / TP53 (N-Terminal Region)
CAT:
800-V2284IHC-7ML
Size:
7 mL
Price:
Ask
- Availability: 24/48H Stock Items & 2 to 6 Weeks non Stock Items.
- Dry Ice Shipment: No








p53 Antibody / TP53 (N-Terminal Region)
Description:
This antibody is specific for a 53kDa protein, which is identified as p53 suppressor gene product. The large number of prolines in its amino acid sequence causes p53 to migrate slowly in SDS-PAGE, resulting in the amino acid content-estimated 43 kDa protein appearing larger than expected. DO-7 reacts with the mutant as well as the wild form of p53 under denaturing and non-denaturing conditions. It binds to MDM2, SV40 T antigen and human papilloma virus E6 protein. Positive nuclear staining with p53 antibody has been reported to be a negative prognostic factor in breast carcinoma, lung carcinoma, colorectal, and urothelial carcinoma. p53 positivity has also been used to differentiate uterine serous carcinoma from endometrioid carcinoma as well as to detect intra-tubular germ cell neoplasia.Host:
MouseImmunogen:
Recombinant human wild type p53 expressed in E. coli was used as the immunogen for this antibody. Its epitope maps within the N-terminus portion (aa 20-25) of the p53 oncoprotein.Clonality:
MonoclonalIsotype:
IgG2b κApplications:
IHC-PFormat:
PurifiedBuffer:
Prediluted in 1X PBS with 0.1 mg/ml BSA (US sourced) and 0.05% sodium azide; *For IHC use only*Reconstitution:
Store the p53 antibody at 2-8oC (with azide) or aliquot and store at -20oC or colder (without azide).Limitations:
This p53 antibody is available for research use only.CAS Number:
9007-83-4