Histone H2B Recombinant Antibody (pT129)
CAT:
800-RQ4992
Size:
100 µL
Price:
Ask
- Availability: 24/48H Stock Items & 2 to 6 Weeks non Stock Items.
- Dry Ice Shipment: No








Histone H2B Recombinant Antibody (pT129)
Description:
Core component of nucleosome. Nucleosomes wrap and compact DNA into chromatin, limiting DNA accessibility to the cellular machineries which require DNA as a template. Histones thereby play a central role in transcription regulation, DNA repair, DNA replication and chromosomal stability. DNA accessibility is regulated via a complex set of post-translational modifications of histones, also called histone code, and nucleosome remodeling. [UniProt]UniProt:
P02293Host:
RabbitImmunogen:
A synthetic peptide specific to yeast Histone H2B (surrounding pT129) was used as the immunogen for the phospho-Histone H2B antibody.Clonality:
MonoclonalIsotype:
IgGType:
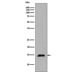
RecombinantApplications:
WBFormat:
PurifiedBuffer:
Antibody in PBS with 0.02% sodium azide, 50% glycerol and 0.4-0.5mg/ml BSAReconstitution:
Store the phospho-Histone H2B antibody at -20oC.Limitations:
This phospho-Histone H2B antibody is available for research use only.CAS Number:
9000-83-3