Helicobacter pylori Antibody (Catalase)
CAT:
800-V9762-20UG
Size:
20 µg
Price:
Ask
- Availability: 24/48H Stock Items & 2 to 6 Weeks non Stock Items.
- Dry Ice Shipment: No








Helicobacter pylori Antibody (Catalase)
Description:
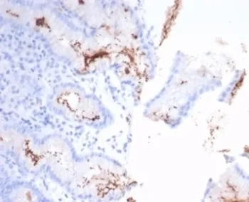
The spiral shaped bacterium Helicobacter pylori is strongly associated with inflammation of the stomach and is also implicated in the development of gastric malignancy. H. pylori is known to cause peptic ulcers and chronic gastritis in human. It is associated with duodenal ulcers and may be involved in development of adenocarcinoma and low-grade lymphoma of mucosa associated lymphoid tissue in the stomach. This antibody stains the individual H. pylori bacterium when it presents on the surface of the epithelium or in the cytoplasm of the epithelial cells in biopsy tissue sections from the antrum and body of the stomach.UniProt:
Not ApplicableHost:
MouseImmunogen:
A portion of amino acids 323-445 from the Helicobacter pylori Catalase protein was used as the immunogen for the Helicobacter pylori antibody.Clonality:
MonoclonalIsotype:
IgG2b κApplications:
IHC-PFormat:
PurifiedBuffer:
0.2 mg/ml in 1X PBS with 0.1 mg/ml BSA (US sourced), 0.05% sodium azideReconstitution:
Aliquot the Helicobacter pylori antibody and store frozen at -20oC or colder. Avoid repeated freeze-thaw cycles.Limitations:
This Helicobacter pylori antibody is available for research use only.CAS Number:
9007-83-4