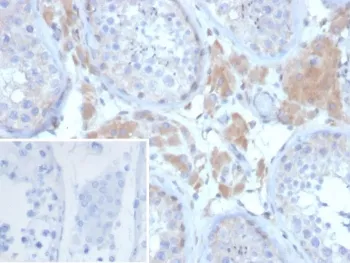
GDF9 Antibody / Growth Differentiation Factor 9
CAT:
800-V5383-100UG
Size:
100 µg
Price:
Ask
- Availability: 24/48H Stock Items & 2 to 6 Weeks non Stock Items.
- Dry Ice Shipment: No








GDF9 Antibody / Growth Differentiation Factor 9
Description:
GDF9 is a member of the bone morphogenetic protein (BMP) family and the TGF-beta superfamily. This group of proteins is characterized by a polybasic proteolytic processing site which is cleaved to produce a mature protein containing seven conserved cysteine residues. The members of this family are regulators of cell growth and differentiation in both embryonic and adult tissues. Growth factors synthesized by ovarian somatic cells directly affect oocyte growth and function. GDF9 is expressed in oocytes and is thought to be required for ovarian folliculogenesis. GDF9/6458 can be used in assays to detect oocyte expression and has been shown to neutralize GDF9 biological activity.UniProt:
O60383Host:
MouseImmunogen:
A recombinant fragment (within amino acids 250-450) of human Growth Differentiation Factor 9 protein was used as the immunogen for the Growth Differentiation Factor 9 antibody.Clonality:
MonoclonalIsotype:
IgG2a κApplications:
IHC-PFormat:
PurifiedBuffer:
0.2 mg/ml in 1X PBS with 0.1 mg/ml BSA (US sourced), 0.05% sodium azideReconstitution:
Aliquot the Growth Differentiation Factor 9 antibody and store frozen at -20oC or colder. Avoid repeated freeze-thaw cycles.Limitations:
This Growth Differentiation Factor 9 antibody is available for research use only.CAS Number:
9007-83-4
DATASHEET Document
View Document