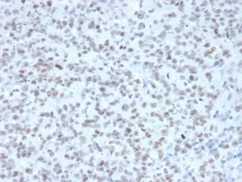
EZH2 Antibody
CAT:
800-V5236-100UG
Size:
100 µg
Price:
Ask
- Availability: 24/48H Stock Items & 2 to 6 Weeks non Stock Items.
- Dry Ice Shipment: No








EZH2 Antibody
Description:
This gene encodes a member of the Polycomb-group (PcG) family. PcG family members form multimeric protein complexes, which are involved in maintaining the transcriptional repressive state of genes over successive cell generations. This protein associates with the embryonic ectoderm development protein, the VAV1 oncoprotein, and the X-linked nuclear protein. This protein may play a role in the hematopoietic and central nervous systems. Multiple alternatively splcied transcript variants encoding distinct isoforms have been identified for this gene.UniProt:
Q15910Host:
MouseImmunogen:
A recombinant partial protein sequence (within amino acids 300-550) from the human protein was used as the immunogen for the Enhancer of zeste homolog 2 antibody.Clonality:
MonoclonalIsotype:
IgG1 κApplications:
IHC-PFormat:
PurifiedBuffer:
0.2 mg/ml in 1X PBS with 0.1 mg/ml BSA (US sourced), 0.05% sodium azideReconstitution:
Aliquot the Enhancer of zeste homolog 2 antibody and store frozen at -20oC or colder. Avoid repeated freeze-thaw cycles.Limitations:
This Enhancer of zeste homolog 2 antibody is available for research use only.CAS Number:
9007-83-4
DATASHEET Document
View Document