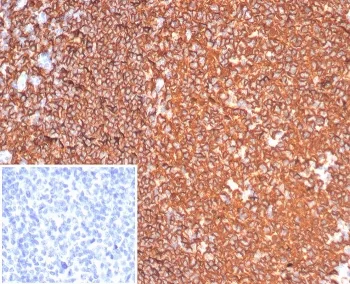
CD20 Recombinant Antibody
CAT:
800-V4167SAF-100UG
Size:
100 µg
Price:
Ask
- Availability: 24/48H Stock Items & 2 to 6 Weeks non Stock Items.
- Dry Ice Shipment: No








CD20 Recombinant Antibody
Description:
Recognizes a protein of 30-33kDa, which is identified as CD20. It is a non-Ig differentiation antigen of B-cells and its expression is restricted to normal and neoplastic B-cells, being absent from all other leukocytes and tissues. CD20 is expressed by pre B-cells and persists during all stages of B-cell maturation but is lost upon terminal differentiation into plasma cells. This mAb can be used for immunophenotyping of leukemia and malignant cells, B lymphocyte detection in peripheral blood and B cell localization in tissues. It reacts with the majority of B-cells present in peripheral blood and lymphoid tissues and their derived lymphomas. In lymphoid tissue, germinal center blasts and B-immunoblasts are particularly reactive. It is a reliable antibody for ascribing a B-cell phenotype in known lymphoid tissues. Rarely, CD20-positive T-cell lymphomas have been reported. Reactivity has also been noted with Reed-Sternberg cells in cases of Hodgkin s disease, particularly of lymphocyte predominant type.UniProt:
P11836Host:
RabbitImmunogen:
A recombinant partial protein (within amino acids 97-297) from the human protein was used as the immunogen for the CD20 antibody.Clonality:
MonoclonalIsotype:
IgG κType:
RecombinantApplications:
WB, IHC-PFormat:
PurifiedBuffer:
1 mg/ml in 1X PBS; BSA free, sodium azide freeReconstitution:
Aliquot the CD20 antibody and store frozen at -20oC or colder. Avoid repeated freeze-thaw cycles.Limitations:
This CD20 antibody is available for research use only.CAS Number:
9000-83-3