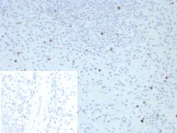
Perforin Recombinant Antibody / PRF1
CAT:
800-V4102SAF-100UG
Size:
100 µg
Price:
Ask
- Availability: 24/48H Stock Items & 2 to 6 Weeks non Stock Items.
- Dry Ice Shipment: No








Perforin Recombinant Antibody / PRF1
Description:
Perforin is a pore-forming protein that leads to osmotic lysis of the target cells and subsequently enables granzymes to enter the target cells and activate apoptosis. Perforin has structural and functional similarities to complement component 9 (C9). Like C9, this protein creates transmembrane tubules and is capable of lysing non-specifically a variety of target cells. It is one of the main cytolytic proteins of cytolytic granules, and is known to be a key effector molecule for T-cell- and natural killer-cell-mediated cytolysis. Defects in this gene cause familial hemophagocytic lymphohistiocytosis type 2 (HPLH2), a rare and lethal autosomal recessive disorder of early childhood. The expression of perforin is reportedly upregulated in activated CD8+ T-cells, natural killer cells and some CD4+ T-cells.UniProt:
P14222Host:
RabbitImmunogen:
A recombinant human Perforin-1 protein fragment (within amino acids 413-552) was used as the immunogen for the Perforin-1 antibody.Clonality:
MonoclonalIsotype:
IgG κType:
RecombinantApplications:
IHC-PFormat:
PurifiedBuffer:
1 mg/ml in 1X PBS; BSA free, sodium azide freeReconstitution:
Aliquot the Perforin-1 antibody and store frozen at -20oC or colder. Avoid repeated freeze-thaw cycles.Limitations:
This Perforin-1 antibody is available for research use only.CAS Number:
9000-83-3